関節エコー検査
treatment関節超音波検査(関節エコー)
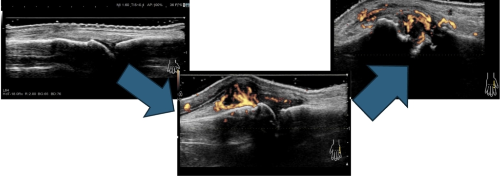
関節超音波検査は超音波を使用して、関節リウマチの炎症を視覚的に観察することができる検査です。関節の他にも、腱や靱帯、筋肉なども観察することができ、関節リウマチだけでなく整形的疾患や痛風などの鑑別にも役立てることができます。
関節リウマチは、関節滑膜が炎症を起こすと厚みを持ち(滑膜肥厚)、滑膜内には異常な血流として示されます(滑膜炎)。これらを「関節エコーガイドライン」に沿って評価し治療に反映しています。
関節リウマチの画像検査では超音波の他に、レントゲン検査や、MRIを使用します。
ただし、レントゲンは骨の障害を評価することはできますが、炎症の状態を直接確認することはできません。MRIは骨の構造や炎症の評価が可能ですが、造影剤という薬を使用するので、薬の副作用を考慮する必要があり、また検査時間が長い・MRI検査ができる医療機関が限られる・閉所恐怖症の方には不向きなどすべての方に適用はできません。
超音波検査は視覚的に炎症が確認でき患者様にもリアルタイムで画像を見てもらうことができるため関節リウマチの状態や治療効果を医師と一緒に共有することが出来ます。また、レントゲン画像では分からない小さな骨破壊(骨びらん)の確認も有用です。
現在の関節リウマチ治療は、早期発見・早期治療をすることで病気を抑えることができます。そのためにも適切な検査・投薬が必要不可欠です。
当院では、レントゲン検査、超音波検査を行うことができます。必要に応じてMRI検査についても他医療機関で早急に検査できる体制を整えております。


関節エコーはどんな検査?
関節エコーは何をするの?
腹部検査と同様に観察部位にゼリーをつけてプローブと呼ばれる機器で観察します。
関節エコーは、前処置などの準備は必要ありません。痛みも全くありません。

検査時間はどれくらい?
観察部位数にもよりますが、およそ10分~30分くらいです。
関節エコーは何を診ているの?
関節エコーはレントゲン検査では診ることが出来ない滑膜、腱、筋肉などを観察しています。

どんな時に検査が必要ですか?
初診時にどのような病気が隠れているか診断するための材料として施行します(鑑別診断)。また関節リウマチが安定しているか確認する時(寛解確認)、治療しているのに関節が痛くなった時(病態増悪時)、治療薬がちゃんと効いているか(効果判定)を目的としておこなっています。
痛みが生じた場合、何が原因で痛いのか(関節リウマチ?年齢的なもの?使い過ぎ?)見た目では判断がつきにくいものを探りにいきます。
痛みがないのに何故関節エコーをやるの?
リウマチや膠原病疾患は治療が上手くいくと痛みや腫れを感じにくくなる人もいます(個人差あり。元々痛みに強い人もいますよね)。しかし関節リウマチは痛みや腫れがなくても、静かに病気が進行していくことがあります。そのため、痛みがない場合でも関節エコー検査で隠れた病気を発見し適切な治療を行うために必要なのです。
炎症が続くとどうなるの?
同じ関節で炎症が続くと、骨破壊(骨びらん)が起き関節の変形がみられます。また、腱や靭帯で炎症が続くと切れてしまう恐れがあります。
気づかない所で炎症が続いていて、ふと気づいた時に関節の形が変わっていたら…?
骨破壊によって変形した関節は、元の形には戻すことは困難です。関節の変形や機能低下を防ぐため、年を重ねても使える関節を維持するためにも、定期的な関節エコーは必要だと考えています。(身体メンテナンス大事)。関節リウマチは、採血だけでは診断できません。様々な検査結果から早期診断につなげ、早期治療できるように診療を行っております。
